Transforme seus momentos com um sorriso incrível e confiante!

Desfrute da confiança que um sorriso perfeito proporciona – a Ortodontia molda sua jornada para momentos inesquecíveis e cheios de autoestima.

Alinhadores invisíveis: Ortodontia Digital para 

conquistar o sorriso dos seus sonhos

Juntos pelo seu melhor sorriso!

LINEA D

Aparelho Autoligável

A técnica ortodôntica que utilizo segue o Conceito Linea® desenvolvido pelo Prof. Glauber Carinhena, que associa bráquetes autoligáveis (que dispensam o uso de ligaduras elásticas, as conhecidas “borrachinhas coloridas”) a fios de alta tecnologia e protocolos clínicos com foco na estética facial, para proporcionar uma movimentação mais eficiente dos dentes com a redução do atrito, maior conforto, além de praticamente eliminar a necessidade de extrações dentárias para ganho de espaço nas arcadas.

invisalign-doctor-home.png

Sistema Invisalign®

É um sistema altamente tecnológico, estético e removível que utiliza alinhadores transparentes personalizados, obtidos a partir do planejamento com o software Clincheck® que oferece integração com tomografia, para maior segurança nos tratamentos ortodônticos. A cada estágio, com a troca do par de alinhadores, é possível ajustar gradualmente a posição de seus dentes até chegar no objetivo do tratamento. Isto tudo praticamente sem restrições na alimentação e com total liberdade durante a higiene bucal.

Odontologia do Sono

O ronco é a principal queixa associada à síndrome da apneia e hipopneia obstrutiva do sono (SAHOs), mas ela aumenta em 7x o risco de infarto, aumenta o risco de AVC, provoca fragmentação do sono, está ligada à depressão, redução da capacidade cognitiva e memória, está relacionada a diabetes, obesidade, diminuição da libido e mal de Alzheimer. Utilizo o exame do sono Biologix®, uma polissonografia tipo IV domiciliar, para diagnóstico e monitoramento durante tratamento com aparelho intraoral personalizado.

SORRISO TRANSFORMADO

CRO-RJ 40.004
CRO-RJ 40.004

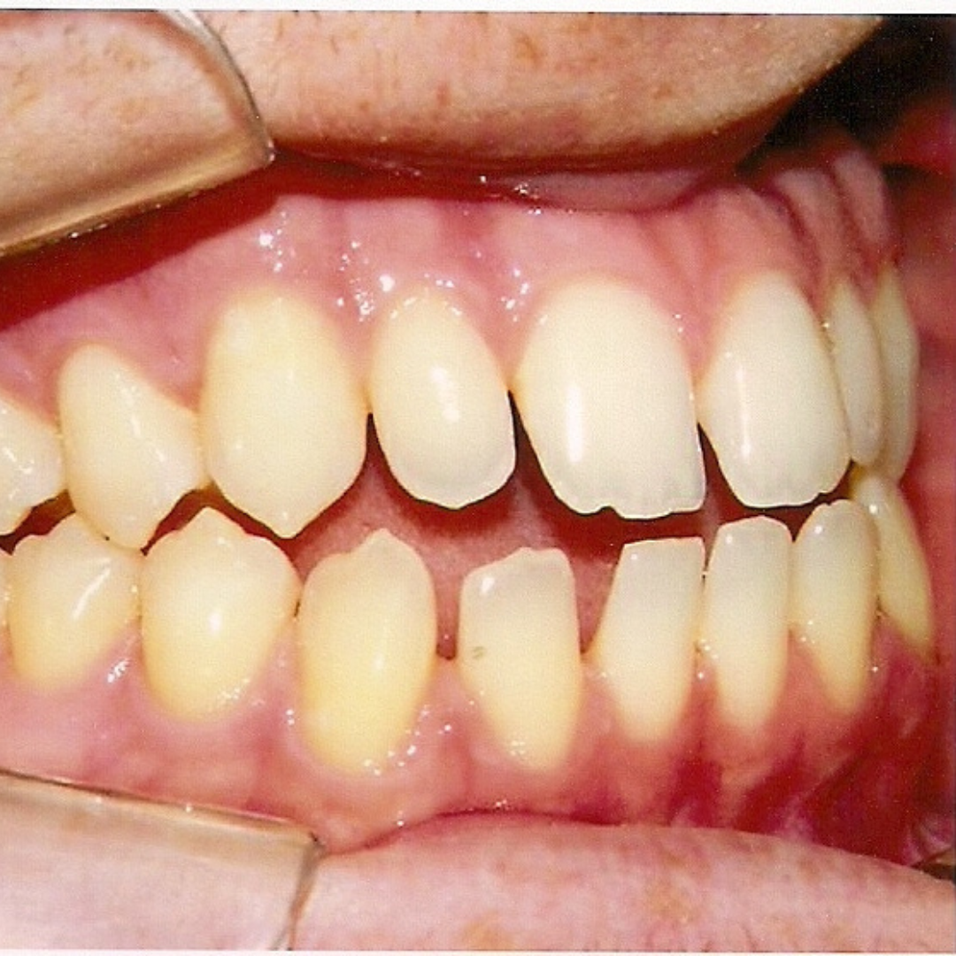
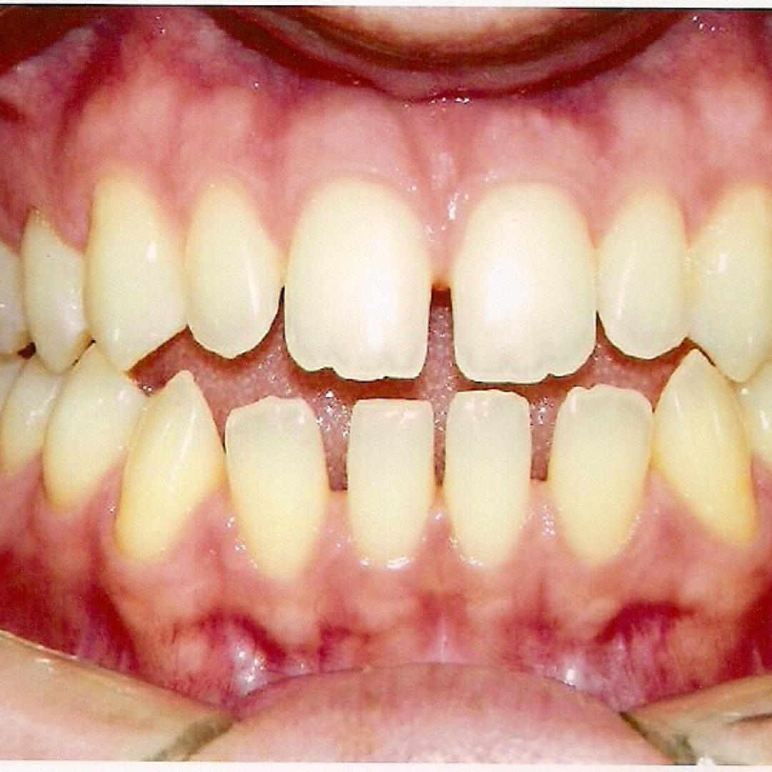
Caso de mordida aberta: foram notados benefícios não só na 

estética como na deglutição e fonação do paciente.

Dra. Silvia Kenshima

Nestes mais de 20 anos de profissão, ouvir de uma senhora que sempre quis colocar aparelho e não pôde quando mais nova, que não tem mais azia porque mastiga melhor; ou que o menino tímido, tornou-se mais autoconfiante e sociável depois que corrigiu os dentes tortos; ou que a moça que acordava com dores no rosto todos os dias, dorme melhor, ou que o rapaz que roncava de vez em quando notou que não ronca mais porque sua mordida melhorou, são relatos que me fazem verdadeiramente FELIZ. 

Tenho convicção que o SORRISO é o elemento chave de conexão entre as pessoas para relacionamentos de sucesso na vida pessoal e profissional. Trazer esta transformação na vida das pessoas é algo que me inspira todos os dias e se tornou minha missão de vida. 

 

Formação Profissional

Cirurgiã-Dentista graduada pela USP

Mestre em Materiais Dentários pela USP

Doutora em Materiais Dentários pela USP

Especialista em Ortodontia

Credenciada no Conceito Linea de Ortodontia Autoligável

Credenciada no Sistema Invisalign de alinhadores invisíveis

Credenciada pela Biologix® para exames do sono

Perfil Pessoal

Dedicada à família

Tia “coruja” do Dani e do Dudu

Tenho irmã especial que estudou na APAE/SP

Mergulhadora Credenciada pela PDIC

Fã de dança de salão: fui aluna da Cia Terra /SP

Devota de Nossa Senhora Aparecida

Torcedora do Fluminense por causa do maridão

Porquê escolher a Dra. Silvia Kenshima para cuidar do seu sorriso!

Aperfeiçoamento técnico-científico contínuo aliado ao atendimento humanizado são a base de sua filosofia de trabalho. 

Materiais de qualidade e uma atenção personalizada focada nos objetivos individuais tornam cada tratamento ortodôntico uma jornada acolhedora, promovendo a autoestima, cuidando da sua saúde e bem-estar. 

Integrar esses cuidados ao seu cotidiano de modo amigável para uma experiência de empoderamento e concretizar a transformação do seu sorriso são prioridade para a Dra Silvia que se sente  honrada pela confiança depositada por cada paciente.

O que nossos clientes falam

André Nunes
André Nunes
2023-09-21
Como está sendo? Maravilhoso! Higiene total, pontualidade, atendimento top, excelente profissional SUPER ÍNDICO ⛵️⛵️⛵️
F A
F A
2023-04-27
Uma profissional atenciosa que sempre atende com cordialidade e respeito. Realiza os procedimentos com segurança e segue todos os protocolos de higienização. Recomendo a sua clínica para todos que procuram um serviço de excelência.
Camila Ferraz
Camila Ferraz
2022-08-16
A dra Silvia foi super prestativa, interessada e cuidadosa. Gostei bastante do atendimento.
Alejandro Vicente
Alejandro Vicente
2022-08-09
Ótima profissional, sempre pontual e preparada para cada encontro. A Dra. Silvia é muito competente na sua área, estuda os casos desde diferentes pontos de vista para dar aos seus pacientes o melhor tratamento possível. No meu caso já tinha visto vários ortodontistas prévios à Dra. Silvia, porém nenhum sugeriu um tratamento que eu achase adequado, só ela conseguiu dar uma solução factível. Começei há pouco com ela e estou satisfeito com o tratamento e os resultados por enquanto. Espero poder voltar aqui uma vez o tratamento seja acabado e poder reafirmar todas as coisas boas que tenho para dizer de essa profissional.
José Matheus Carvalho Boaro
José Matheus Carvalho Boaro
2022-08-05
Excelente atendimento! A Dra Silvia é uma profissional muito cuidadosa e extremamente atenciosa com o paciente, além de ser bastante sincera sobre os tratamentos e os resultados esperados. Recomendo bastante!
Claudia Magaly Frambach Mungard
Claudia Magaly Frambach Mungard
2022-07-13
Profissionalismo, competência,pontualidade e muita cordialidade.
Julia Carvalho
Julia Carvalho
2022-02-23
A Dra. Silvia foi a única ortodentista que conseguiu solucionar o meu caso. Passei por VÁRIOS dentistas antes e já estava há mais de 10 anos com o aparelho e nenhum profissional sabia me dizer ao certo qual seria o meu tratamento. Cheguei até ela por indicação e ela ao ver o meu caso não teve dúvidas sobre qual seria o meu tratamento. Sempre bem transparente com os pacientes. Além disso, o tratamento de fato acabou no prazo que ela tinha estipulado. SUPER RECOMENDO!
Marta Portes
Marta Portes
2021-12-08
A Dr. Silvia é muito atenciosa, transparente e conhece muito bem sua área. Além da estética ela se preocupa com a saúde geral da boca. No meu caso, além do aparelho, me deu orientações sobre o bruxismo, para salvar um dente que eu estava a ponto de tirar e restaurou a mastigação eficiente. Apesar de ainda estar de aparelho hoje em dia mastigar é bem mais confortável e sinto muito menos dor relacionada ao bruxismo que antigamente. Recomendo muito!
Paloma Nemi
Paloma Nemi
2021-12-01
Ortodontista maravilhosa!!! A cada consulta nota-se que ela realmente estuda o caso de seu paciente, incansavelmente busca soluções, além de sempre explicar o processo, o que faz toda diferença para nós pacientes. Muito estudiosa, calma e atenciosa. Se tivesse que escolher ortodontista para iniciar um tratamento, novamente seria Dra Silvia. Super recomendo!!!

Volte a sorrir
com liberdade

Perguntas Frequentes

O tempo varia conforme a complexidade, em média de 12 a 24 meses. Avaliações regulares ajudam a monitorar o progresso.

Em torno dos 7 anos, é interessante uma avaliação ortodôntica. Aproveitar o crescimento facial com os estímulos corretos melhoram a harmonia facial, fonação, mastigação e ajudam a prevenir discrepâncias nas bases ósseas que na idade adulta podem requerer além do tratamento ortodôntico, cirurgia ortognática.

No início, pode haver desconforto leve à medida que os dentes se ajustam. Geralmente, é gerenciável com cuidados e orientações do ortodontista.

Prevenção de problemas bucais como recessões gengivais, acúmulo de tártaro, perda óssea e dentária

Não trabalho com convênios, mas caso o seu plano ofereça reembolso, colaborarei com o que for necessário. Há convênios médicos que cobrem os exames da documentação ortodôntica parcial ou totalmente.

| Consultório

| Redes Sociais

© 2024 Todos os direitos reservados por Dra. Silvia Kenshima